【大紀元2025年06月20日訊】(大紀元記者陳文敏台灣苗栗報導)71歲的謝先生因連續兩天嚴重胸悶和呼吸困難到急診就醫,檢查發現為急性心肌梗塞,後續又併發多重器官衰竭。在醫療團隊緊急安排下,裝置葉克膜並進行複雜性心導管冠狀動脈整型術,順利穩住病情。出院後回診追蹤,已可自行走進診間,並開心的表示謝謝醫療團隊,讓他從鬼門關走回來了!

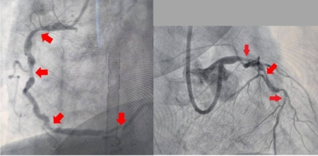
大千綜合醫院心臟內科醫師羅健賢表示,該位病人的心導管檢查顯示冠狀動脈左主幹與三條血管都嚴重狹窄,若要進行導管置放支架風險很高,因此建議接受風險較低的冠狀動脈繞道手術,但病人表示不願意。沒想到,病人接連併發急性肺水腫、急性腎衰竭,甚至心因性休克,因此緊急裝置葉克膜並進行複雜性心導管冠狀動脈整型術,以刀片氣球整型術切割血管壁上的斑塊,使血管更容易擴張,術中同時放置六支塗藥支架治療。病人術後第二天移除葉克膜,一週後脫離呼吸器、12天後轉入一般病房繼續藥物治療、血液透析,並進行床邊復健幫助體力恢復,終於在第28天順利出院返家。後續腎功能逐漸恢復,術後三個月已不需再洗腎。
由於複雜的冠狀動脈疾病,像是:多處血管狹窄或阻塞、血管分支複雜等,是無法透過單純的氣球擴張或支架植入來治療。因此,需要以複雜性心導管冠狀動脈整型術,也就是利用心導管搭配特殊技術(包含:刀片氣球整型術、冠狀動脈旋磨術、血管內震波氣球擴張術)來治療。此手術具有侵入性小、恢復快、提高治療效果等優點,但手術仍存在一定的風險,因此需要醫師更精細的手術技巧及術後專業的照護,才能有更高的成功率並降低手術風險。
羅健賢醫師提醒,急性心肌梗塞常見嚴重胸悶甚至胸痛、呼吸困難且合併冒冷汗等症狀,務必要盡速就醫接受治療,才能將生命威脅降至最低。

責任編輯:昌英◇



