【大紀元2025年07月15日訊】(大紀元記者陳文敏台灣苗栗報導)66歲的張先生最近半年內出現體重無故下降4公斤、胃口變差、整天提不起勁的情況。近一週更出現皮膚和眼白發黃、皮膚發癢、尿液呈深褐色的症狀,而到急診就醫。醫師檢查發現,他的肝功能和黃疸指數嚴重升高,且肝臟佈滿腫瘤,病理報告證實為膽管癌末期。經醫師以「經皮穿肝膽道引流術」及「內視鏡逆行性膽道引流術」緩解黃疸症狀後,安排化學治療以延緩病情惡化。
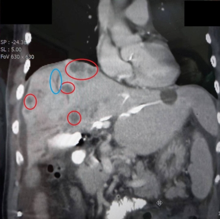
大千綜合醫院肝膽腸胃科醫師吳家慶表示,此次案例因抽血檢查呈現肝功能指數與膽紅素(黃疸指數)都非常高,進一步安排腹部超音波及電腦斷層檢查,赫然發現肝臟佈滿腫瘤、肝內膽管與總膽管異常擴張、肺部也疑似轉移腫瘤,因此高度懷疑是晚期肝癌或膽管癌,後經病理報告確認為膽管癌。由於病人的黃疸指數過高,膽汁無法排出,若不及時處理恐引發感染,所以先由放射科醫師進行「經皮穿肝膽道引流術」,從皮膚穿刺至肝臟膽管中,引流滯留的膽汁,來減輕黃疸症狀。後續考量引流管需要長期留置,為不影響病人的生活品質,故採用「內視鏡逆行性膽道引流術」,改以體內放置引流管,減少外部管路帶來的不便與感染風險。

膽管癌是發生在肝臟內外膽汁通道的惡性腫瘤,雖然發生率不高,但因初期幾乎沒有症狀,導致很多病人發現時已屬中晚期,失去最佳治療時機。膽管癌的常見症狀包括:皮膚與眼白發黃(黃疸)、尿色變深、糞便變白、皮膚搔癢、食慾不振、體重減輕、上腹或右上腹悶痛。高危險族群則為:1.有膽管結石、膽管囊腫、慢性膽道發炎病史者、2.B型或C型肝炎、肝硬化患者、3.曾感染肝吸蟲(如食用生魚片、生螺)、4.有肝膽疾病家族史者、5.長期抽菸或暴露於化學品者。

吳家慶醫師提醒民眾,想要預防膽管癌,應避免吃生魚或生螺等高風險食物、減少菸酒與化學暴露、控制好肝病並定期追蹤肝膽功能、有家族史或膽道病史者更應定期做腹部超音波等影像檢查。早期膽管癌仍有機會手術治癒,因此,雖然膽管癌初期症狀不明顯,但皮膚變黃、食慾差、體重減輕、尿色變深等都是警訊,千萬不可輕忽。最重要的是,定期檢查與健康的生活習慣,才能幫助遠離膽管癌的威脅。
責任編輯:杜文卿



