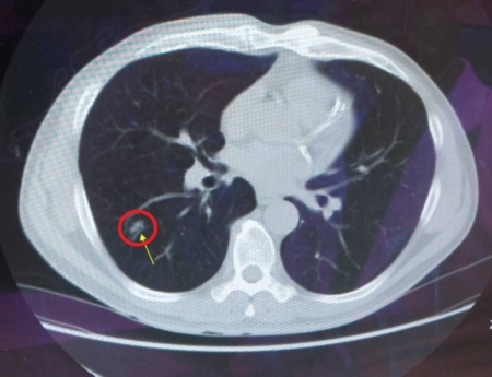
【大紀元2025年05月23日訊】(大紀元記者陳文敏台灣苗栗報導)60歲的江先生本身有吸菸史,平時身體狀況還算不錯,僅因高血壓定期在門診追蹤。在一次回診時,接受醫護人員建議,安排成人健康檢查及肺癌低劑量電腦斷層掃描(LDCT),竟意外發現右下肺葉有一個小腫瘤,因此到胸腔外科持續追蹤。經過兩年的密切觀察,醫師發現江先生的腫瘤有輕微增大跡象,幸好腫瘤尚未擴散,於是建議接受微創胸腔鏡手術切除,術後三天順利出院、恢復狀況良好。


大千綜合醫院胸腔外科醫師楊絡勝表示,早期肺癌的手術主要在於將腫瘤及其周圍部分的肺組織切除,以達到切除病灶、清除癌細胞的目的。由於江先生的腫瘤在早期即被發現,也相對較小,評估適合接受微創手術,術後的切片病理報告顯示為肺癌第一期,只需定期追蹤,讓江先生直呼幸好有接受篩檢,才能及早發現並治療,為他帶來扭轉病情的機會。
肺癌是目前主要的癌症死因之一,由於肺癌早期沒有明顯的症狀,許多病人在確診時已屬晚期,失去手術治癒的機會,因此早期發現是非常重要的關鍵。現行低劑量電腦斷層掃描(LDCT)主要用於肺癌的早期篩檢,可以找出2~3毫米小的結節,並及早接受治療。早期肺癌經醫師評估後,可接受微創胸腔鏡手術,有傷口小、恢復快、疼痛感輕、出血少、併發症發生率低等優點。研究顯示,早期發現並手術切除的病人,五年存活率高達90%以上,且治癒機率較晚期發現的病人更是大幅增加。
楊絡勝醫師呼籲有家族史者(女性40~74歲;男性45~74歲)以及重度吸菸史的50~74歲民眾,是符合公費補助資格的高風險族群,務必定期每二年進行一次肺癌篩檢。有肺病史者(肺結核或肺阻塞)、特定職業暴露者、對肺癌預防重視、擔心自己有罹患肺癌風險的民眾,雖然不符合公費資格仍可預約檢查,以掌握肺部健康,積極面對健康風險。◇
責任編輯:昌英



