【大紀元2025年07月31日訊】(大紀元記者徐乃義台灣桃園報導)「糟糕!我竟然血便了!」不少民眾在如廁時發現糞便中夾雜血液,常會因此感到不安。對此,台北榮民總醫院桃園分院一般外科鄭聖儒醫師提醒,這個症狀雖常見,但絕不可掉以輕心,特別是高齡年長者,更應高度警覺。
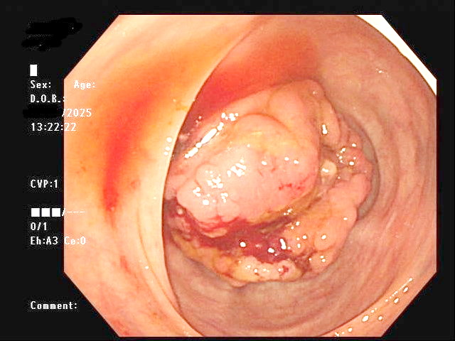
鄭聖儒指出,糞便中夾雜血液的原因很多,比如內痔出血、大便太硬太粗導致的肛裂出血、局部的發炎潰瘍出血、憩室發炎出血等,當然最令人擔心的腫瘤出血也不容小覷。根據衛福部公布的2021年癌症排名,大腸癌仍名列前三名,顯示其發生率依然居高不下,不能輕忽。
「有些人因本身有痔瘡問題,便將血便歸咎於痔瘡出血,卻忽略其它潛在病因,如此輕忽,往往會錯過早期發現、及早治療大腸癌的黃金時機,十分可惜。」鄭醫師強調。

那麼該做哪些檢查,才能釐清血便的真正原因呢?鄭聖儒表示,最重要的是儘早就醫,由專業醫師依患者年齡、出血情形、有無其它併發症及整體健康狀況,評估選擇最適合的檢查方式。若無重大併發症且能配合術前清腸準備,大腸鏡檢查便是一個檢查大腸黏膜的利器。
雖然電腦斷層可以針對整個腹內器官進行大範圍檢查,但在面對大腸黏膜瘜肉及腫瘤問題時,往往沒有大腸鏡來的精準,尤其大腸腫瘤必須達到一定程度的大小,才有機會在電腦斷層中被醫師偵測到。相較之下,大腸鏡不僅能執行檢查,還具備治療功能,可進一步切除瘜肉、腺瘤及部分原位癌,是集診斷與治療於一身的重要利器。
也有不少民眾對大腸鏡望之卻步,擔心過程會疼痛或不適。對此,鄭聖儒醫師說明,大腸鏡檢查過程中需注入氣體撐開腸道,以利仔細觀察每段大腸的情形,而這正是造成不適的主因之一。若腸道彎曲程度較高,也會增加檢查時的不適感。
隨著醫療技術的進步,目前已有「無痛舒眠大腸鏡」的選項,透過麻醉科醫師給予藥物幫助,受檢者可在睡眠狀態下完成整個檢查,大幅降低疼痛與不適。鄭醫師指出,許多受檢者在檢查結束後表示「彷彿只是睡了一場好覺」,整體過程既安心又舒適。
北榮桃園分院長彭家勛表示,該院除了提供自費無痛舒眠大腸鏡檢查外,在後續治療方面亦配備微創手術相關設備與專業團隊,能針對大腸癌進行更安全、快速且有效的治療,從血便的初期檢查到必要時的手術介入治療,提供一條龍式的完整醫療照護服務。◇
責任編輯:黃善



